


20. - 35. Lebensjahr:
jährliche zytologische Abstrichkontrolle
ab dem 35. Lebensjahr:
alle drei Jahre Ko-Testung
(= zytologisher Abstrich und HPV - Test)

Welche Stufen des Abstrichergebnisses gibt es?
Die einzelnen Veränderungen der Zellen des Gebärmutterhalses wurden international in Gruppen eingeteilt und werden Ihrer(m) Frauenärztin/Frauenarzt von dem Zytologischen Institut mitgeteilt.

Pap I:
normales Zellbild
Pap IIa:
normales Zellbild nach auffälligem Befund in der Vergangenheit
Pap IIe:
normales Zellbild, in dem sich Zellen der Gebärmutterschleimhaut außerhalb des Zyklus wiederfinden (Patientinnen über 45 Jahren)
Pap II p:
nur ganz leichte Zellveränderungen – kein Krebs
Ein Sicherheitsabstrich wird empfohlen. Diese Veränderungen können durch und/oder allergische Reaktionen hervorgerufen werden. Zum Ausschluss, dass diese Zellveränderungen erste dysplastische Zeichen sind (Zellveränderungen durch Human Papillom-Virus, die sich zu Krebsvorstufen entwickeln können), wird eine Kontrolle empfohlen.
Pap IIID-1:
leichte dysplastische Veränderungen (bis zur 70% von selbst rückläufig), sind leichte Vorstufen, die sich zu einem Zervixkarzinom entwickeln können. Kontrolluntersuchungen sind notwendig


Pap IIID-2:
mittelschwere Dysplasien (30-40% von selbst rückläufig), mittelschwere Vorstufen, die sich zu einem Zervixkarzinom entwickeln können. Kontrolluntersuchungen sind notwendig.
Pap IV a:
schwere Dysplasie = direkte Vorstufe zum Zervixkarzinom, ein zeitnahes Handeln durch Vorstellung in einer Dysplasiesprechstunde/ Konisation wird notwendig.
Pap III:
auffällige Zellveränderungen, bei denen eine höhergradige Zellveränderung nicht ausgeschlossen werden kann. Eine weitere Diagnostik ist notwendig.
Pap IIIe:
Zellbild mit abnormen Zellen der Gebärmutterschleimhaut, eine weitere Diagnostik ist notwendig
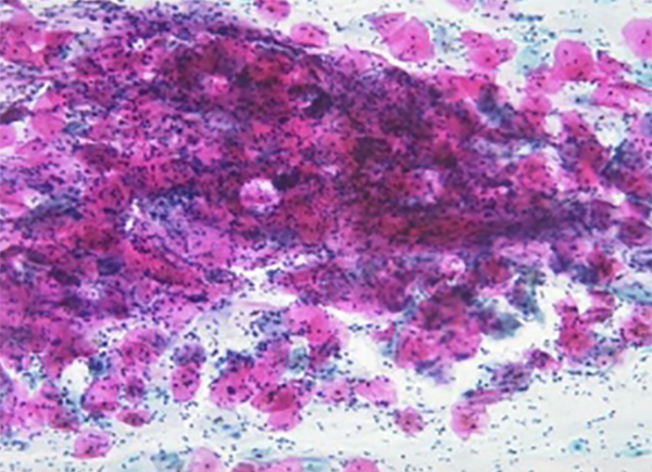
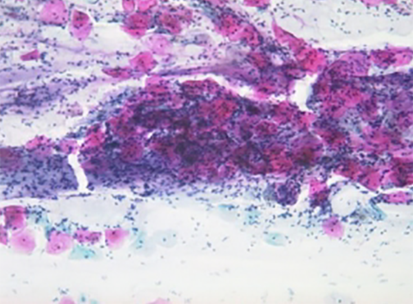
Pap V:
Verdacht auf Zervixkarzinom-Zellen

Dünnschichtzytologie, Monolayer, Flüssigkeitszytologie
Schon der bisherige Krebsabstrich bringt ein hohes Mass an Sicherheit bei der Früherkennung der Vorstadien des Gebärmutterhalskrebses. Es sind technische Gründe, die bei diesem Verfahren einen kleinen Prozentsatz an Unsicherheit übrig lassen.
Ein neues und aufwändiges Verfahren des Vorsorge-abstriches kann dieses Risiko noch weiter reduzieren. Das Verfahren wurde in den USA entwickelt und steht jetzt auch hier zur Verfügung.

Dabei wird aus dem Gebärmutterhals Zellmaterial gewonnen und automatisiert nach im Dünnschicht-
Dieses Verfahren ist leider nicht immer eine Kassen-

HPV (Humane-Papillom-Viren)
